טכליסטאמאב (Teclistamab) – תרופה חדשה ומבטיחה

תוצאות טובות במחקר שלב 1 / 2 בתרופה טכליסטאמאב, שעתידה לקבל אישור FDA בקרוב. על המחקר ותוצאותיו בכתבה שלפניכם.
מיאלומה חוץ-לשדית (אקסטרמדולרית)

מהי מיאלומה אקסטרמדולרית (חוץ-לשדית)? ואיך מטפלים בה? – הכל בכתבה מאת פרופ' עמוס כהן.
רבילימיד – תופעות לוואי ומשמעויות

על תופעות הלוואי של הרבלימיד, מה לעשות כדי להקל עליהן, האם ניתן לצפות אותן והאם החלפת התרופה הגנרית במקורית תעזור?
על החיסון החדש נגד קורונה – EVUSHELD – דיווח ראשון

מה זה החיסון אבושלד? איך פועל? במה שונה מהחיסונים שקיבלנו? למי מיועד והאם מומלץ?
הפוגה במיאלומה – מה זה אומר ואיך זה קשור להפסקה בטיפול?

מהי הפוגה? מהי תגובה לטיפול? האם ניתן להפסיק טיפול בעת הפוגה? ואם כן, מתי? תשובות לכל השאלות בכתבה.
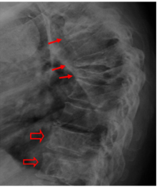
תפקידן של בדיקות הדמיה במיאלומה נפוצה

אילו בדיקות הדמיה קיימות במיאלומה? מתי משתמשים בכל בדיקה? מה ההבדל ביניהן? כל זה בכתבה מאת ד"ר תמיר שרגאי.
המלצות לאורח חיים למתמודדים עם מיאלומה

מהו אורח החיים המומלץ לחולי מיאלומה? האם אורח חיים נכון יכול לחזק את המערכת החיסונית? דיון בנושא הזה תמצאו בכתבה הבאה.
סקירת החידושים שהוצגו בכנס ה- ASH לשנת 2021

ד"ר יעל כהן מדווחת על החידושים בטיפול במיאלומה, כפי שעולים מהמחקרים שהוצגו בכנס ה- ASH.
חיסון רביעי נגד קורונה – שיקולים והמלצות

חיסון רביעי נגד קורונה – כן או לא? מה השיקולים? ד"ר יסמין מאור מסבירה בהרצאתה ומשיבה על שאלות של עמיתים.